Palla's sign
Palla Sign and Westermark Sign
Differential diagnosispulmonary embolism

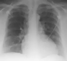
Palla's sign is a clinical sign in which an enlarged right descending pulmonary artery is seen on the chest x-ray in patients with pulmonary embolism. It is of low sensitivity, and its specificity is not known. It exhibits as a "sausage" appearance on X-ray. [1] It is named after italian radiologist Antonio Palla. In 1983, he published his observations that close to 25% of patients with pulmonary embolism had a chest x-ray sign of enlarged right descending pulmonary artery.[2][3]

References

  1. Lee DS, Vo H, Franco A, Keshavamurthy J, Rotem E. "Palla and Westermark Signs". J Thorac Imaging. 2017;32(4):7. at Journal of Thoracic Imaging
  2. Ricardo Ladeiras-Lopes; Ayres Neto; Cláudia Costa; Marta Sousa; Paula Ferreira; Vítor Paixão Dias; Vasco Gama Ribeiro (7 May 2013). "Hampton's Hump and Palla's Sign in Pulmonary Embolism". Circulation. 127 (18): 1914–1915. doi:10.1161/CIRCULATIONAHA.112.000650. PMID 23648682.{{cite journal}}: CS1 maint: date and year (link)
  3. Dr Daniel J Bell; Dr Isaac Narouz. "Palla sign". Retrieved 10 May 2021.
This article is issued from Wikipedia. The text is licensed under Creative Commons - Attribution - Sharealike. Additional terms may apply for the media files.