| Mucoepidermoid carcinoma | |
|---|---|
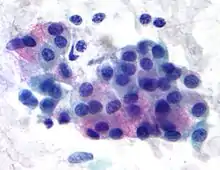
![]() | |
| Micrograph of a mucoepidermoid carcinoma. FNA specimen. Pap stain. | |
| Specialty | Oncology, Maxillofacial surgery, ENT surgery |
Mucoepidermoid carcinoma (MEC)[1] is the most common type of minor salivary gland malignancy in adults. Mucoepidermoid carcinoma can also be found in other organs, such as bronchi, lacrimal sac,[2] and thyroid gland.
Mucicarmine staining is one stain used by pathologist for detection.[3]
Signs and symptoms
Presents as painless, slow-growing mass that is firm or hard. Most appear clinically as mixed tumors. Usually occurs at 30–50 years of age. More predilection towards female sex.
Diagnosis
Histology
This tumor is not encapsulated and is characterized by squamous cells, mucus-secreting cells, and intermediate cells.[4]
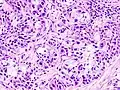
Histopathologic image of mucoepidermoid carcinoma of the major salivary gland. H & E stain
Histopathologic image of mucoepidermoid carcinoma of the major salivary gland. The same lesion as shown in a filename "Mucoepidermoid carcinoma (2) HE stain.jpg". H & E stain
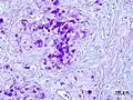
Histopathologic image of mucoepidermoid carcinoma. Postoperative recurrence of the submandibular tumor. Alcian blue-PAS stain
Molecular biology
Mucoepidermoid carcinomas of the salivary and bronchial glands are characterized by a recurrent t(11;19)(q21;p13) chromosomal translocation resulting in a MECT1-MAML2 fusion gene.[5] The CREB-binding domain of the CREB coactivator MECT1 (also known as CRTC1, TORC1 or WAMTP1) is fused to the transactivation domain of the Notch coactivator MAML2.[6]
A possible association with papillomavirus has been reported.[7]
Prognosis
Generally, there is a good prognosis for low-grade tumors, and a poor prognosis for high-grade tumors, however recent research have found reoccurring low grade tumors also have a poor prognosis.[8]
Treatment
Surgery is the recommended treatment for localised resectable disease.[9] When the tumour is incompletely resected (positive margins) post-operative radiotherapy gives local control comparable to a complete resection (clear margins).[10]
Sometimes when surgery is not possible due to extent of disease or if a patient is too frail for surgery, or declines surgery, palliative radiotherapy may be helpful. There has been a report of a case where low dose radiotherapy achieve disease response and control for more than 4 years.[11]
In patients with metastatic disease, chemotherapy response tends to be low (27% partial response rate) and short lived.[12]
Epidemiology
Occurs in adults, with peak incidence from 20–40 years of age. A causal link with cytomegalovirus (CMV) has been strongly implicated in a 2011 research.[13]
References
- ↑ Kalhor N, Moran CA (March 2018). "Pulmonary mucoepidermoid carcinoma: diagnosis and treatment". Expert Review of Respiratory Medicine. 12 (3): 249–255. doi:10.1080/17476348.2018.1428563. PMID 29338644. S2CID 46808485.
- ↑ Williams JD, Agrawal A, Wakely PE (February 2003). "Mucoepidermoid carcinoma of the lacrimal sac". Annals of Diagnostic Pathology. 7 (1): 31–34. doi:10.1053/adpa.2003.50005. PMID 12616472.
- ↑ Baloch ZW, Solomon AC, LiVolsi VA (July 2000). "Primary mucoepidermoid carcinoma and sclerosing mucoepidermoid carcinoma with eosinophilia of the thyroid gland: a report of nine cases". Modern Pathology. 13 (7): 802–807. doi:10.1038/modpathol.3880140. PMID 10912941.
- ↑ Chenevert J, Barnes LE, Chiosea SI (February 2011). "Mucoepidermoid carcinoma: a five-decade journey". Virchows Archiv. 458 (2): 133–140. doi:10.1007/s00428-011-1040-y. PMID 21243374. S2CID 19767354.
- ↑ Chiosea SI, Dacic S, Nikiforova MN, Seethala RR (August 2012). "Prospective testing of mucoepidermoid carcinoma for the MAML2 translocation: clinical implications". The Laryngoscope. 122 (8): 1690–1694. doi:10.1002/lary.22419. PMID 22833306. S2CID 33158886.
- ↑ Behboudi A, Enlund F, Winnes M, Andrén Y, Nordkvist A, Leivo I, et al. (May 2006). "Molecular classification of mucoepidermoid carcinomas-prognostic significance of the MECT1-MAML2 fusion oncogene". Genes, Chromosomes & Cancer. 45 (5): 470–481. doi:10.1002/gcc.20306. PMID 16444749. S2CID 37146319.
- ↑ Isayeva T, Said-Al-Naief N, Ren Z, Li R, Gnepp D, Brandwein-Gensler M (June 2013). "Salivary mucoepidermoid carcinoma: demonstration of transcriptionally active human papillomavirus 16/18". Head and Neck Pathology. 7 (2): 135–148. doi:10.1007/s12105-012-0411-2. PMC 3642267. PMID 23233027.
- ↑ Rubin A, Davis J, Jreije K, Wu H, Oppenheimer R (2017). "Case Report: Recurrent Mucoepidermoid Carcinoma of the Tongue in Adult Female Patient With Lung Cancer". Clinical Medicine Insights. Ear, Nose and Throat. 10: 1179550617720462. doi:10.1177/1179550617720462. PMC 5513522. PMID 28757800.
- ↑ Verma J, Teh BS, Paulino AC (December 2011). "Characteristics and outcome of radiation and chemotherapy-related mucoepidermoid carcinoma of the salivary glands". Pediatric Blood & Cancer. 57 (7): 1137–1141. doi:10.1002/pbc.22978. PMID 21280198. S2CID 147761.
- ↑ Hosokawa Y, Shirato H, Kagei K, Hashimoto S, Nishioka T, Tei K, et al. (January 1999). "Role of radiotherapy for mucoepidermoid carcinoma of salivary gland". Oral Oncology. 35 (1): 105–111. doi:10.1016/s1368-8375(98)00053-0. PMID 10211318.
- ↑ Vulpe H, Giuliani M, Goldstein D, Perez-Ordonez B, Dawson LA, Hope A (October 2013). "Long term control of a maxillary sinus mucoepidermoid carcinoma with low dose radiation therapy: a case report". Radiation Oncology. 8: 251. doi:10.1186/1748-717X-8-251. PMC 3829377. PMID 24165756.
- ↑ Licitra L, Cavina R, Grandi C, Palma SD, Guzzo M, Demicheli R, Molinari R (August 1996). "Cisplatin, doxorubicin and cyclophosphamide in advanced salivary gland carcinoma. A phase II trial of 22 patients". Annals of Oncology. 7 (6): 640–642. doi:10.1093/oxfordjournals.annonc.a010684. PMID 8879381.
- ↑ Melnick M, Sedghizadeh PP, Allen CM, Jaskoll T (February 2012). "Human cytomegalovirus and mucoepidermoid carcinoma of salivary glands: cell-specific localization of active viral and oncogenic signaling proteins is confirmatory of a causal relationship". Experimental and Molecular Pathology. 92 (1): 118–125. doi:10.1016/j.yexmp.2011.10.011. PMID 22101257. S2CID 41446671.
- 1 2 Steve C Lee, MD, PhD. "Salivary Gland Neoplasms". Medscape.
{{cite web}}: CS1 maint: multiple names: authors list (link) Updated: Jan 13, 2021
Diagrams by Mikael Häggström, MD


