Thogotovirus
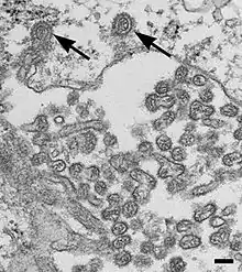
Electron micrograph of Bourbon virus (scale bar: 100 nm)
Electron micrograph of Bourbon virus (scale bar: 100 nm)
Virus classification Edit this classification
(unranked): Virus
Realm: Riboviria
Kingdom: Orthornavirae
Phylum: Negarnaviricota
Class: Insthoviricetes
Order: Articulavirales
Family: Orthomyxoviridae
Genus: Thogotovirus
Species
Synonyms[1]

Thogoto-like viruses

Thogotovirus is a genus of enveloped RNA viruses, one of seven genera in the virus family Orthomyxoviridae. Their single-stranded, negative-sense RNA genome has six or seven segments. Thogotoviruses are distinguished from most other orthomyxoviruses[3] by being arboviruses – viruses that are transmitted by arthropods, in this case usually ticks. Thogotoviruses can replicate in both tick cells and vertebrate cells; one subtype has also been isolated from mosquitoes. A consequence of being transmitted by blood-sucking vectors is that the virus must spread systemically in the vertebrate host – unlike influenza viruses, which are transmitted by respiratory droplets and are usually confined to the respiratory system.[4]

The genus contains the species Thogoto thogotovirus and Dhori virus (DHOV), and the latter's subtype Batken virus, as well as the species or strains Araguari virus, Aransas Bay virus (ABV), Bourbon virus, Jos virus (JOSV) and Upolu virus (UPOV), which have yet to be confirmed by the International Committee on Taxonomy of Viruses (ICTV). A wide range of mammals are infected by members of the genus; some types also infect birds. THOV causes disease in livestock. THOV, DHOV and Bourbon virus can infect humans, and have occasionally been associated with human disease.

History

THOV and DHOV were identified in the early 1960s in Kenya and India, respectively.[5][6] Two cases of human disease associated with THOV occurred in 1966, and a Russian laboratory accident in the 1980s showed that DHOV can also cause disease in humans.[7][8] The two viruses were originally considered to be bunyaviruses, but characterisation in the 1980s and early 1990s revealed similarities with influenza viruses.[9][10] A genus of "Thogoto-like viruses" within Orthomyxoviridae was proposed in 1995, and recognised by the ICTV under the name Thogotovirus the following year.[11][12] The name comes from Thogoto Forest in Kenya, where THOV was first discovered.[13] Since then, sequence analysis of five viruses discovered in the 1960–70s but unclassified or tentatively assigned to Bunyaviridae led to their being proposed as additional members of the genus.[2][9][14][15] A further proposed member of the genus was characterised by next-generation sequencing in 2014.[7]

Virology

Schematic drawing of a virion (genera Thogotovirus and Quaranjavirus, cross section)
Thogotovirus genome map
Predicted structure of THOV glycoprotein (left) compared with GP64 of the baculovirus, Autographa californica multicapsid nucleopolyhedrovirus (right)

The virus particle is enveloped. It is generally spherical or ovoid, with a diameter in the range 80–120 nm.[16] Some filamentous forms are observed in THOV, Batken and Bourbon viruses.[7][9][17] The single-stranded, RNA genome is linear and segmented, with six or seven segments of 0.9–2.3 kb and a total size of around 10 kb.[16][18] Reassortment of segments between strains has been observed in both ticks and mammals experimentally infected with more than one thogotovirus, but its significance in natural infections is unknown.[19]

Viral proteins

The genome encodes 7–9 proteins, including the trimeric RNA polymerase enzyme (PA, PB1, PB2) and the structural proteins nucleoprotein (NP), which binds the viral genome; matrix protein (M1), which lines the envelope; and an envelope glycoprotein (GP), which acts as the virus receptor.[15][16]

The thogotovirus glycoprotein is not similar to the influenza virus glycoproteins (haemagglutinin and neuraminidase), and instead shows some similarities with the gp64 glycoprotein of baculoviruses, which infect insects.[4][15][20] It also has some similarity with the haemagglutinin of Quaranfil virus of the related genus of tick-transmitted orthomyxoviruses Quaranjavirus.[21] The mechanism by which thogotoviruses gained a baculovirus-like glycoprotein is unknown. Pat Nuttall and colleagues have speculated that the acquisition enabled these viruses to infect ticks.[22] This apparent receptor specificity for arthropod cells does not prevent most thogotoviruses from infecting vertebrates.[15] The thogotovirus glycoprotein is classified as a class III or γ penetrene, lacking the fusion peptide present in influenza haemagglutinin (a class I or α penetrene).[23]

THOV and JOSV[2] also encode the protein M-long (ML), which counters the host's innate immunity, in particular by suppressing the production of interferon. This immune evasion is important for the virus to infect systemically in vertebrates, but is unnecessary in arthropods, which lack the interferon response. The mechanism of action of ML is completely different from the equivalent protein in influenza viruses (NS1).[15][16][24][25]

As in all orthomyxoviruses, the largest three segments (1–3) encode the three subunits of the RNA polymerase. In thogotoviruses, segment 4 encodes the glycoprotein and segment 5 the nucleoprotein. The messenger RNA (mRNA) from segment 6 can be spliced to encode the matrix protein or unspliced to encode ML, which has 38 additional amino acids at its C-terminus.[4][15][16][18] No product has yet been identified for the seventh segment, observed in DHOV.[18]

Life cycle

Electron micrograph showing endocytosis (arrows) of Bourbon virus (scale bar: 100 nm)

The receptor on the vertebrate host cell is sialic acid, which is bound by the viral glycoprotein. Entry is by endocytosis, with fusion of the viral and cell membranes occurring once the vesicle is acidified. In common with other orthomyxoviruses, viral transcription and replication both occur in the cell nucleus.[15][16] In some members of the genus, replication has been shown to be sensitive to the Mx1/MxA protein, which is induced in mice and humans in response to interferon.[9][26] In one study, this inhibitory effect was shown to be caused by MxA preventing the transport of the THOV genome into the nucleus.[27]

As orthomyxoviruses do not encode a capping enzyme, initiation of transcription involves the virus cutting the cap off the 5′-end of host mRNAs, so that the mRNA is recognised by the host translation machinery. A similar "cap snatching" process is used by other orthomyxoviruses, but a much longer host RNA sequence is cleaved along with the cap and incorporated into the viral mRNA.[28][29]

The virus assembles by the cell membrane and leaves the cell by budding.[16] For THOV grown in baby hamster kidney cells, virus particles start to be released 6–8 hours after infection, with substantial quantities still being produced 24 hours after infection. This growth rate is slower than that of influenza viruses, and is more similar to Quaranfil virus.[17][21]

Epidemiology

Most thogotoviruses have been shown to infect arthropods, generally hard or soft ticks, which are arachnids,[7] but in one case mosquitoes, which are insects.[9] Members also infect birds[15][30] and a wide range of wild and domestic mammals, including marsupials,[14] rodents,[4] hares,[31] mongoose,[32] horses,[6] camels, goats, sheep and cattle.[2][32] Three types – THOV, DHOV and Bourbon virus – have been shown to infect humans.[7] They have a wide geographical range.[7]

Transmission to vertebrates usually occurs via a tick vector. THOV persists in the tick, remaining in the organism as it goes through its developmental stages; this is called transstadial transmission.[17] The virus can be transmitted to another host within a day of attachment to the host.[33] THOV can be transmitted between ticks when they feed simultaneously on apparently uninfected guinea pigs, in the absence of a detectable level of virus in the blood.[34][35] Such nonviraemic transmission has also been observed with other predominantly tick-transmitted RNA viruses, including bluetongue, Crimean–Congo haemorrhagic fever, louping ill, tick-borne encephalitis, vesicular stomatitis virus and West Nile virus viruses.[26] Transmission of DHOV by respiratory aerosol has also been observed.[6]

Host interaction and disease

Ticks

No major pathological changes are observed in Rhipicephalus appendiculatus ticks infected with THOV.[17] The virus is concentrated in the synganglion (the tick brain) early on in the blood-feeding process, with the proportion of virus located in the salivary glands increasing during the late phase of blood-feeding.[17][33] Lower levels of virus are found in the trachea, digestive tract and female sex organs, but not in the male sex organs or the excretory system. The high level of virus present in the synganglion has been proposed to help the virus persist through the metamorphosis of the tick, as the nervous system undergoes less remodeling than other systems.[17]

Vertebrates

In the laboratory setting, several members of the genus cause severe disease in mice and hamsters.[5][6] Systemic spread of the virus occurs, with pathological effects present in multiple organs and systems, including the brain, liver, lymphatic system, and sometimes the lungs and small intestine.[5][6] Lymphocytes are a major target cell for DHOV.[6] DHOV infection in mice resembles experimental influenza infection in mice and ferrets as well as fatal H5N1 influenza infection of humans, and has been proposed as a model for this disease.[6]

Natural infections with thogotoviruses in mammals generally do not appear to result in symptoms. THOV is a significant veterinary pathogen, for example, causing a febrile illness and abortion in sheep.[5][36][37][38][39] As of February 2015, only eight cases of human disease associated with thogotoviruses have been reported: two with THOV, five with DHOV and one with Bourbon virus; there have been two fatalities.[7] The incubation period for THOV is 4–5 days.[39] All three viruses were associated with fever. THOV and DHOV also caused neurological symptoms: meningitis and neuromyelitis optica in the case of THOV; encephalitis in the case of DHOV.[7][8][13][39] Hepatitis has been observed with THOV.[39] The single case of disease in a person infected with Bourbon virus was associated with decreases in blood platelets and white cells; no neurological symptoms were observed.[7] Influenza-like respiratory symptoms have not been reported.[7][8]

Treatment and prevention

No specific treatment or vaccine is available for thogotoviruses, as of February 2015. The antiviral drug ribavirin, which has a broad spectrum of activity that includes some other orthomyxoviruses,[40] has been shown to inhibit DHOV replication in vitro in a single study.[41] Supportive therapy is used for THOV disease,[39] and has been recommended by the US Centers for Disease Control and Prevention for infection with Bourbon virus. As with other arboviruses, avoidance of contact with the vector is central to prevention.[42]

Species and strains

Two species have been confirmed by the ICTV, THOV and DHOV.[43] The two viruses have a low degree of sequence identity (37% for the nucleoprotein; 31% for the envelope glycoprotein), and their antibodies do not crossreact.[13] Batken virus is a subtype of DHOV.[13] As of February 2015, a further five species or strains have been suggested as belonging to the genus.[7]

Species/strain RNA segments Diameter (nm) Vectors Vertebrate hosts Distribution
Araguari 6 105 Unknown Gray four-eyed opossum, mouse S. America
Aransas Bay 6 75–140 Ornithodoros ticks Mouse N. America
Batken 50–100 Hyalomma ticks, Aedes and Culex mosquitoes Chicken, hamster, mouse Asia
Bourbon ≥6 ~100–130 Unknown Human N. America
Dhori 7 Hyalomma ticks Birds, hare, horse, human, mouse, ruminants Africa, Asia, Europe
Jos ≥6 85–120 Amblyomma and Rhipicephalus ticks Mouse, zebu Africa
Thogoto 6 100 Amblyomma, Hyalomma and Rhipicephalus ticks Banded mongoose, donkey, human, rodents, ruminants Africa, Asia, Europe
Upolu 6 75–120 Ornithodoros ticks Mouse Australia

THOV-like viruses

Phylogeny of selected orthomyxoviruses, based on the nucleocapsid protein (scale bar: amino acid substitutions per site)

Thogoto virus (THOV)

THOV was first isolated from ticks gathered from cattle in the Thogoto Forest region of Kenya, near Nairobi, in 1960,[5] it is now known to be distributed across the African continent, and has also been found in Italy and Portugal in Europe, and Iran in the Middle East.[19][31][44] Despite this wide geographical range, the virus shows only limited variation.[44] Its vectors include various hard-bodied ticks, including Amblyomma, Hyalomma and Rhipicephalus species.[5][13][19][31][45]

Antibodies have been found to THOV in rats and many domestic animals, including goats, sheep, donkeys, camels, cattle and buffaloes, and the virus has been isolated from the wild banded mongoose (Mongos mungo).[13][32] It causes significant livestock disease, including a febrile illness and abortion in sheep.[5][36][37][38] In artificial laboratory infections, it is highly pathogenic in hamsters and also infects mice.[5] The virus is known to infect humans in natural settings.[7][31]

The virus particle is generally spherical with some filamentous forms; the diameter is around 100 nm.[17] The genome has six RNA segments.[4]

Araguari virus

The Araguari virus was first isolated from a Gray four-eyed opossum (Philander opossum) in Serra do Navio, Amapá, Brazil in 1969.[14] Its method of transmission is unknown.[6] In laboratory infections, it is pathogenic to mice. The virion is around 105 nm in diameter. The genome has six RNA segments. Based on partial sequence data the virus was found to be most closely related to THOV.[14]

Aransas Bay virus (ABV)

ABV was found in the soft-bodied tick genus Ornithodoros in seabird nests in southern Texas, USA, in 1975; it was the first member of the genus to be found in North America.[7][15] No natural vertebrate host has been identified, but the virus is highly pathogenic to mice in laboratory infections. The virus particle is spherical or ovoid, with a range of sizes, from 75 nm × 85 nm to 120 nm × 140 nm. The genome has six RNA segments. It is most similar to UPOV, with some similarity to THOV and JOSV.[15]

Jos virus (JOSV)

Hyalomma marginatum is one of the vectors of DHOV

JOSV was first isolated from the zebu (Bos indicus) in Jos, Nigeria in 1967. It has since been found infecting Amblyomma and Rhipicephalus hard-bodied ticks in several countries across Africa. In the laboratory it causes severe pathology in mice. The virus particle has a variable, usually ovoid, morphology with a diameter of 85–120 nm. The genome contains at least six RNA segments.[2] It has some sequence similarities with UPOV and ABV.[15]

Upolu virus (UPOV)

UPOV was first isolated on Upolu Cay in the Great Barrier Reef, Australia in 1966, from soft-bodied ticks of the species Ornithodoros capensis associated with the sooty tern (Onychoprion fuscatus). No natural vertebrate host has been identified, but the virus is highly pathogenic to mice in laboratory infections. The virion can either be spherical, with a diameter in the range 75–95 nm, or slightly ovoid, with a range of dimensions from 75 nm × 85 nm to 105 nm × 120 nm. The genome has six RNA segments. It is most similar to ABV, with some similarity to THOV and JOSV.[15]

DHOV-like viruses

Dhori virus (DHOV)

DHOV was first isolated from Hyalomma dromedarii hard-bodied ticks infesting camels in Gujarat, India, in 1961.[6] It has since been observed in eastern Russia, Pakistan, Egypt, Saudi Arabia, Kenya and southern Portugal. The vector is usually a species of Hyalomma, such as H. marginatum.[6][13][31][46][47]

Where DHOV is prevalent, antibodies to the virus have been documented in camels, goats, horses, cattle and humans.[6][13] The virus has been isolated from a wild hare, Lepus europaeus.[31][48] DHOV can infect humans by the aerosol route after accidental laboratory exposure, causing a febrile illness and encephalitis.[6][8][31] Under laboratory conditions it is highly pathogenic for mice, and has been proposed as a model system for highly pathogenic influenza.[6] It has also been shown to infect birds, with the virus being isolated from a cormorant,[49] and antibodies being observed in waterfowl.[13][15]

DHOV has seven RNA segments.[13]

Electron micrograph of a filamentous form of Bourbon virus (scale bar: 100 nm)

Batken virus

Batken virus was first isolated from hard-bodied ticks of the species Hyalomma plumbeum plumbeum infesting sheep near the town of Batken, Kirghizia, now in Kyrgyzstan, in 1970.[9][30] It has also been found to infect mosquitoes of the species Aedes caspius Pallas and Culex hortensis Ficalbi, also in Kyrgyzstan.[50] Its geographical range is limited to Central Asia, Transcaucasia and the area to the north of the Caspian Sea.[50] In the laboratory it is highly pathogenic for mice, hamsters and chickens.[30] The virion is variable in shape, with spherical and filamentous forms being observed; it has a diameter of 50–100 nm.[9] Batken is considered a DHOV subtype; the viruses have a high degree of sequence identity (90% in the envelope glycoprotein; 96–98% in other proteins), and their antibodies crossreact.[13][50]

Bourbon virus

Bourbon virus was identified in 2014 by next-generation sequencing of a blood sample from a man from Bourbon County, Kansas, USA, who became ill a few days after being bitten by multiple ticks, and subsequently died. It is the only known thogotovirus to be associated with human disease in the Western hemisphere. As of February 2015, Bourbon virus has not been isolated from ticks, insects or non-human vertebrates. The virus is variable in shape, with filamentous as well as spherical forms; it has a diameter broadly in the range 100–130 nm. The genome contains at least six RNA segments. It is most similar to DHOV and Batken virus.[7]

Oz virus

Oz virus was first characterised in 2018 after isolation from the hard tick Amblyomma testudinarium in Ehime, Japan. [DOI: 10.1016/j.virusres.2018.03.004]. The first human case, a 70 year old female patient who died of myocarditis with isolation of Oz virus on autopsy, was reported on 23.6.2023 by the Japanese Ministry of Heath.

Notes and references

  1. Pringle, C. R. (1996). "Virus Taxonomy 1996 - A Bulletin from the Xth International Congress of Virology in Jerusalem" (PDF). Arch Virol. 141 (11): 2251–2256. doi:10.1007/BF01718231. PMC 7086844. PMID 8992952. Retrieved 4 June 2019.
  2. 1 2 3 4 5 Bussetti AV, Palacios G, Travassos da Rosa A, et al. (2012), "Genomic and antigenic characterization of Jos virus", Journal of General Virology, 93 (2): 293–98, doi:10.1099/vir.0.035121-0, PMC 3352346, PMID 21994326
  3. Members of the recently ratified genus Quaranjavirus are also transmitted by ticks.[2]
  4. 1 2 3 4 5 Kochs G, Bauer S, Vogt C, et al. (2010), "Thogoto virus infection induces sustained type I interferon responses that depend on RIG-I-like helicase signaling of conventional dendritic cells", Journal of Virology, 84 (23): 12344–50, doi:10.1128/jvi.00931-10, PMC 2976394, PMID 20861272
  5. 1 2 3 4 5 6 7 8 Haig DA, Woodall JP, Danskin D (1965), "Thogoto virus: a hitherto undescribed agent isolated from ticks in Kenya" (PDF), Journal of General Microbiology, 38 (3): 389–94, doi:10.1099/00221287-38-3-389, PMID 14329965
  6. 1 2 3 4 5 6 7 8 9 10 11 12 13 Mateo RI, Xiao SY, Lei H, DA Rosa AP, Tesh RB (2007), "Dhori virus (Orthomyxoviridae: Thogotovirus) infection in mice: a model of the pathogenesis of severe orthomyxovirus infection", American Journal of Tropical Medicine and Hygiene, 76 (4): 785–90, doi:10.4269/ajtmh.2007.76.785, PMID 17426188
  7. 1 2 3 4 5 6 7 8 9 10 11 12 13 14 Kosoy OI, Lambert AJ, Hawkinson DJ, Pastula DM, Goldsmith CS, Hunt DC, Staples JE (May 2015). "Novel thogotovirus associated with febrile illness and death, United States, 2014". Emerging Infect. Dis. 21 (5): 760–4. doi:10.3201/eid2105.150150. PMC 4412252. PMID 25899080.
  8. 1 2 3 4 Butenko AM, Leshchinskaia EV, Semashko IV, Donets MA, Mart'ianova LI (1987), "[Dhori virus—a causative agent of human disease. 5 cases of laboratory infection]", Voprosy Virusologii (in Russian), 32 (6): 724–29, PMID 3445590
  9. 1 2 3 4 5 6 7 Frese M, Weeber M, Weber F, Speth V, Haller O (1997), "Mx1 sensitivity: Batken virus is an orthomyxovirus closely related to Dhori virus", Journal of General Virology, 78 (10): 2453–58, doi:10.1099/0022-1317-78-10-2453, PMID 9349464
  10. Clerx JP, Fuller F, Bishop DH (May 1983). "Tick-borne viruses structurally similar to Orthomyxoviruses". Virology. 127 (1): 205–19. doi:10.1016/0042-6822(83)90384-7. PMID 6858001.
  11. ICTV 6th report (PDF), International Committee on Taxonomy of Viruses, retrieved 9 March 2015
  12. Pringle CR, Virus Taxonomy 1996 - A Bulletin from the Xth International Congress of Virology in Jerusalem (PDF), International Committee on Taxonomy of Viruses, retrieved 9 March 2015
  13. 1 2 3 4 5 6 7 8 9 10 11 Büchen-Osmond C, ed. (2006), "Index of Viruses - Orthomyxoviridae", ICTVdB - The Universal Virus Database, version 4, Columbia University, archived from the original on 2 April 2015, retrieved 3 July 2020
  14. 1 2 3 4 Da Silva EV, Da Rosa AP, Nunes MR, Diniz JA, Tesh RB, Cruz AC, et al. (December 2005). "Araguari virus, a new member of the family Orthomyxoviridae: serologic, ultrastructural, and molecular characterization". Am. J. Trop. Med. Hyg. 73 (6): 1050–58. doi:10.4269/ajtmh.2005.73.1050. PMID 16354811.
  15. 1 2 3 4 5 6 7 8 9 10 11 12 13 Briese T, Chowdhary R, Travassos da Rosa A, et al. (2014), "Upolu virus and Aransas Bay virus, two presumptive bunyaviruses, are novel members of the family Orthomyxoviridae", Journal of Virology, 88 (10): 5298–09, doi:10.1128/jvi.03391-13, PMC 4019087, PMID 24574415
  16. 1 2 3 4 5 6 7 "Thogotovirus", ViralZone, Swiss Institute of Bioinformatics, retrieved 6 March 2015
  17. 1 2 3 4 5 6 7 Booth TF, Davies CR, Jones LD, Staunton D, Nuttall PA (May 1989). "Anatomical basis of Thogoto virus infection in BHK cell culture and in the ixodid tick vector, Rhipicephalus appendiculatus". J. Gen. Virol. 70 ( Pt 5) (5): 1093–104. doi:10.1099/0022-1317-70-5-1093. PMID 2543769.
  18. 1 2 3 King AM, Adams MJ, Carstens EB, Lefkowitz EJ, eds. (2011), Virus Taxonomy: Ninth Report of the International Committee on Taxonomy of Viruses, Academic Press, p. 757
  19. 1 2 3 Davies CR, Jones LD, Green BM, Nuttall PA (1987), "In vivo reassortment of Thogoto virus (a tick-borne influenza-like virus) following oral infection of Rhipicephalus appendiculatus ticks" (PDF), Journal of General Virology, 68 (9): 2331–38, doi:10.1099/0022-1317-68-9-2331, PMID 3655743
  20. Morse MA, Marriott AC, Nuttall PA (1992), "The glycoprotein of Thogoto virus (a tick-borne orthomyxo-like virus) is related to the baculovirus glycoprotein GP64", Virology, 186 (2): 640–46, doi:10.1016/0042-6822(92)90030-s, PMID 1733105
  21. 1 2 Presti RM, Zhao G, Beatty WL, Mihindukulasuriya KA, Travassos da Rosa APA (2009), "Quaranfil, Johnston Atoll, and Lake Chad viruses are novel members of the family Orthomyxoviridae", Journal of Virology, 83 (22): 11599–606, doi:10.1128/jvi.00677-09, PMC 2772707, PMID 19726499
  22. Allison AB, Ballard JR, Tesh RB, Brown JD, Ruder MG, Keel MK, et al. (January 2015). "Cyclic avian mass mortality in the northeastern United States is associated with a novel orthomyxovirus". J. Virol. 89 (2): 1389–403. doi:10.1128/JVI.02019-14. PMC 4300652. PMID 25392223.
  23. Garry CE, Garry RF (2008), "Proteomics computational analyses suggest that baculovirus GP64 superfamily proteins are class III penetrenes", Virology Journal, 5: 28, doi:10.1186/1743-422x-5-28, PMC 2288602, PMID 18282283
  24. Haller O, Kochs G, Weber F (2006), "The interferon response circuit: Induction and suppression by pathogenic viruses", Virology, 344 (1): 119–30, doi:10.1016/j.virol.2005.09.024, PMC 7125643, PMID 16364743
  25. Thogoto virus: Molecular biology of a tick-transmitted Orthomyxovirus, Universitäts Klinikum Freiburg, retrieved 7 March 2015
  26. 1 2 Kuno G, Chang GJ (2005), "Biological Transmission of Arboviruses: Reexamination of and New Insights into Components, Mechanisms, and Unique Traits as Well as Their Evolutionary Trends", Clinical Microbiology Reviews, 18 (4): 608–37, doi:10.1128/cmr.18.4.608-637.2005, PMC 1265912, PMID 16223950
  27. Kochs G, Haller O (1999), "Interferon-induced human MxA GTPase blocks nuclear import of Thogoto virus nucleocapsids", Proceedings of the National Academy of Sciences of the USA, 96 (5): 2082–86, Bibcode:1999PNAS...96.2082K, doi:10.1073/pnas.96.5.2082, PMC 26740, PMID 10051598
  28. Leahy MB, Dessens JT, Nuttall PA (1997), "In vitro polymerase activity of Thogoto virus: evidence for a unique cap-snatching mechanism in a tick-borne orthomyxovirus.", Journal of Virology, 71 (11): 8347–51, doi:10.1128/JVI.71.11.8347-8351.1997, PMC 192294, PMID 9343188
  29. Guilligay D, Kadlec J, Crépin T, Lunardi T, Bouvier D, et al. (2014), "Comparative structural and functional analysis of orthomyxovirus polymerase cap-snatching domains", PLOS ONE, 9 (1): e84973, Bibcode:2014PLoSO...984973G, doi:10.1371/journal.pone.0084973, PMC 3893164, PMID 24454773
  30. 1 2 3 Lvov DK, Karas FR, Tsyrkin YM, Vargina SG, Timofeev EM, et al. (1974), "Batken virus, a new arbovirus isolated from ticks and mosquitoes in Kirghiz S.S.R.", Archiv für die gesamte Virusforschung, 44 (1): 70–73, doi:10.1007/bf01242183, PMID 4150914, S2CID 33344597
  31. 1 2 3 4 5 6 7 Gratz N (2006), Vector- and Rodent-Borne Diseases in Europe and North America: Distribution, Public Health Burden, and Control, Cambridge University Press, pp. 108–9
  32. 1 2 3 Ogen-Odoi A, Miller BR, Happ CM, Maupin GO, Burkot TR (March 1999), "Isolation of thogoto virus (Orthomyxoviridae) from the banded mongoose, Mongos mungo (Herpestidae), in Uganda", American Journal of Tropical Medicine and Hygiene, 60 (3): 439–40, doi:10.4269/ajtmh.1999.60.439, PMID 10466973
  33. 1 2 Kaufman WR, Nuttall PA (2003), "Rhipicephalus appendiculatus (Acari: Ixodidae): dynamics of Thogoto virus infection in female ticks during feeding on guinea pigs", Experimental Parasitology, 104 (1–2): 20–25, doi:10.1016/s0014-4894(03)00113-9, PMID 12932755
  34. Jones LD, Davies CR, Steele GM, Nuttall PA (August 1987). "A novel mode of arbovirus transmission involving a nonviremic host". Science. 237 (4816): 775–7. Bibcode:1987Sci...237..775J. doi:10.1126/science.3616608. PMID 3616608.
  35. Jones LD, Nuttall PA (1989). "Non-viraemic transmission of Thogoto virus: influence of time and distance". Trans. R. Soc. Trop. Med. Hyg. 83 (5): 712–24. doi:10.1016/0035-9203(89)90405-7. PMID 2617637.
  36. 1 2 Duncanson GR (2013), Farm Animal Medicine and Surgery: For Small Animal Veterinarians, CABI, p. 110
  37. 1 2 Maramorosch K, McIntosh AH (1994), Arthropod Cell Culture Systems, CRC Press, p. 165
  38. 1 2 Frese M, Kochs G, Meier-Dieter U, Siebler J, Haller O (1995), "Human MxA protein inhibits tick-borne Thogoto virus but not Dhori virus", Journal of Virology, 69 (6): 3904–09, doi:10.1128/jvi.69.6.3904-3909.1995, PMC 189115, PMID 7745744
  39. 1 2 3 4 5 Berger SA, Calisher CH, Keystone JS (2003), Exotic Viral Diseases: A Global Guide, BC Decker, pp. 179–80
  40. Sidwell RW, Huffman JH, Khare GP, Allen LB, Witkowski JT, Robins RK (August 1972), "Broad-spectrum antiviral activity of Virazole: 1-f8- D-ribofuranosyl-1,2,4-triazole-3-carboxamide", Science, 177 (4050): 705–6, Bibcode:1972Sci...177..705S, doi:10.1126/science.177.4050.705, JSTOR 1734763, PMID 4340949, S2CID 43106875
  41. Belov AV, Larichev VF, Galkina IA, Khutoretskaia NV, Butenko AM, et al. (2008), "[In vitro activity of Russian ribavirin on the models of Crimean-Congo hemorrhagic fever virus, Rift Valley fever virus, and Tahyna and Dhori viruses]", Voprosy virusologii (in Russian), 53 (1): 34–35, PMID 18318134
  42. "Bourbon virus", CDC website, Division of Vector-Borne Diseases, CDC, retrieved 4 March 2015
  43. ICTV Master Species List 2014 v2, International Committee on Taxonomy of Viruses, 2014, archived from the original on 9 March 2015, retrieved 7 March 2015
  44. 1 2 Calisher CH, Karabatsos N, Filipe AR (1987), "Antigenic uniformity of topotype strains of Thogoto virus from Africa, Europe, and Asia", American Journal of Tropical Medicine and Hygiene, 37 (3): 670–73, doi:10.4269/ajtmh.1987.37.670, PMID 3688319
  45. Sang R, Onyango C, Gachoya J, Mabinda E, Konongoi S, et al. (2006), "Tickborne arbovirus surveillance in market livestock, Nairobi, Kenya", Emerging Infectious Diseases, 12 (7): 1074–1080, doi:10.3201/eid1207.060253, PMC 3291068, PMID 16836823
  46. Darwish MA, Hoogstraal H, Roberts TJ, Ghazi R, Amer T (1983), "A sero-epidemiological survey for Bunyaviridae and certain other arboviruses in Pakistan", Transactions of the Royal Society of Tropical Medicine and Hygiene, 77 (4): 446–50, doi:10.1016/0035-9203(83)90108-6, PMID 6415873
  47. Al-Khalifa MS, Diab FM, Khalil GM (2007), "Man-threatening viruses isolated from ticks in Saudi Arabia", Saudi Medical Journal, 28 (12): 1864–67, PMID 18060218
  48. L'vov DN, Dzharkenov AF, Aristova VA, Kovtunov AI, Gromashevskiĭ VL (2002), "[The isolation of Dhori viruses (Orthomyxoviridae, Thogotovirus) and Crimean-Congo hemorrhagic fever virus (Bunyaviridae, Nairovirus) from the hare (Lepus europaeus) and its ticks Hyalomma marginatum in the middle zone of the Volga delta, Astrakhan region, 2001]", Voprosy virusologii (in Russian), 47: 32–36
  49. Iashkulov KB; Shchelkanov MIu; L'vov SS; Dzhambinov SD; Galkina IV; et al. (2008), "[Isolation of influenza virus A (Orthomyxoviridae, Influenza A virus), Dhori virus (Orthomyxoviridae, Thogotovirus), and Newcastle's disease virus (Paromyxoviridae, Avulavirus) on the Malyi Zhemchuzhnyi Island in the north-western area of the Caspian Sea]", Voprosy virusologii (in Russian), 53 (3): 34–38, PMID 18590134
  50. 1 2 3 Al'khovskiĭ SV; L'vov DK; Shchelkanov MIu; Shchetinin AM; Deriabin PG; et al. (2014), "[Genetic characterization of the Batken virus (BKNV) (Orthomyxoviridae, Thogotovirus) isolated from the Ixodidae ticks Hyalomma marginatum Koch, 1844 and the mosquitoes Aedes caspius Pallas, 1771, as well as the Culex hortensis Ficalbi, 1889 in the Central Asia]", Voprosy virusologii (in Russian), 59 (2): 33–37, PMID 25069283
This article is issued from Wikipedia. The text is licensed under Creative Commons - Attribution - Sharealike. Additional terms may apply for the media files.