Intraductal papilloma
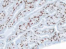
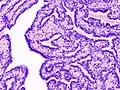
Histopathology of intraductal papilloma of the breast by excisional biopsy. Immunostaining for p63 protein.
SpecialtyOncology Edit this on Wikidata

Intraductal papillomas of the breast are benign lesions with an incidence of approximately 2-3% in humans.[1] They result from abnormal proliferation of the epithelial cells lining the breast ducts.[2]

Two types of intraductal papillomas are generally distinguished. The central type develops near the nipple. They are usually solitary and often arise in the years nearing menopause. On the other hand, the peripheral type are often multiple papillomas arising at the peripheral ducts, and are usually found in younger women. The peripheral type are associated with a higher risk of malignancy.[3]

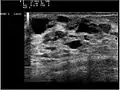
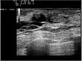
They are the most common cause of bloody nipple discharge in women age 20-40 and generally do not show up on mammography due to their small size. They may be detectable on ultrasound. A galactogram is the most definitive test but is somewhat invasive.

The masses are often too small to be palpated or felt. A galactogram is therefore necessary to diagnose the type of lesion.

Excision is sometimes performed.[4] Microdochectomy/microdochotomy (removal of a breast duct) is the treatment of choice.

Additional images

References

  1. Cilotti A, Bagnolesi P, Napoli V, Lencioni R, Bartolozzi C (November 1991). "[Solitary intraductal papilloma of the breast. An echographic study of 12 cases]". La Radiologia Medica (in Italian). 82 (5): 617–20. PMID 1780459.
  2. Li A, Kirk L (January 2020). "Intraductal Papilloma". StatPearls: Internet. PMID 30137824.
  3. Tarallo, V; Canepari, E; Bortolotto, C (June 2012). "Intraductal papilloma of the breast: A case report". Journal of Ultrasound. 15 (2): 99–101. doi:10.1016/j.jus.2012.03.002. PMC 3558092. PMID 23396758.
  4. Ahmadiyeh N, Stoleru MA, Raza S, Lester SC, Golshan M (August 2009). "Management of intraductal papillomas of the breast: an analysis of 129 cases and their outcome". Annals of Surgical Oncology. 16 (8): 2264–9. doi:10.1245/s10434-009-0534-1. PMID 19484312. S2CID 21938897.
This article is issued from Wikipedia. The text is licensed under Creative Commons - Attribution - Sharealike. Additional terms may apply for the media files.